avatar

Mayank Bhardwaj

Your Technical 911

Histopathological Image Analysis of White Blood Cells

  • slide

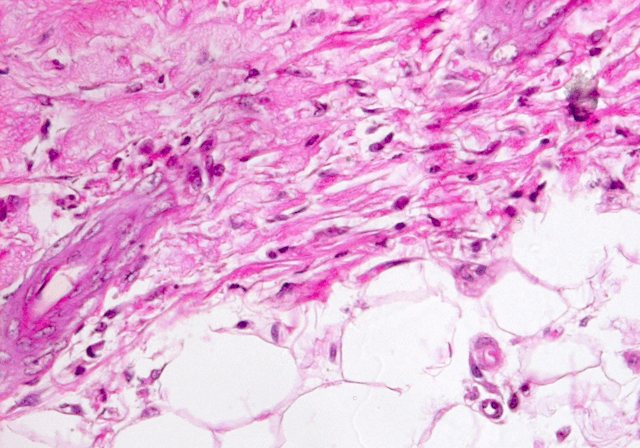
    Sample Images

  • slide
  • slide

Description

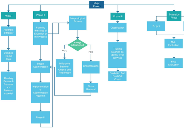
The project is to identify and count the White Blood Cells in a Skin Tissue. Firstly, we have to differentiate between RBCs, WBCs and Platelets. Not only that, we have to take into account, the presence of hair follicle in the skin sample. Then, WBCs have been identified, we have to further classify WBCs into their aforementioned types. The classification will be done on the basis of the number of nucleus in the types of WBCs. Lastly, the count can be categorized as to be within, above or below the normal count of 4,500 to 11,000 microliter. Thus, identifying whether or not the sample is infected or not.

Our new approach will be to dive into Fully Convolutional Neural Networks for the task of “Semantic Image Segmentation”. Semantic Image Segmentation is the task of segmenting an image and coloring the segmented parts with the color of the classification class. We will adopt the technique on biological data and first make a CNN to segment our image and then move forward with the semantic analysis task. Making it a 2 way process will help us deal with the difficulties step by step. This novel approach of segmenting on cell level with CNN is an experiment that may give unlikely result. We are exploring various other techniques side by side since the task is tedious and accuracy is highly important.

Client

College Project